Po úspěšném embryotransferu přichází nejdelších čtrnáct dní – období plné očekávání, naděje i nervozity. Mnoho žen si pokládá stejné otázky: Co se teď děje s embryem? Jak poznám, že se uhnízdilo? A kdy se dá těhotenství potvrdit?
Podívejte se, jak probíhá vývoj embrya po IVF (KET) den po dni a co můžete ve svém těle cítit během dvoutýdenního čekání.
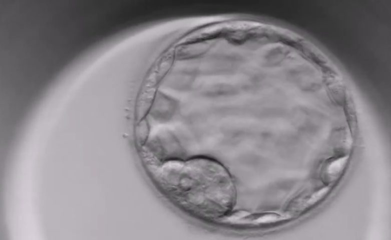
Vývoj embrya den po dni po KET
Při IVF se embryo do dělohy přenáší obvykle ve stádiu blastocysty, tedy pět až šest dní po oplodnění vajíčka spermií. Následující dny jsou klíčové – rozhodují o tom, zda dojde k úspěšnému uhnízdění (nidaci) a těhotenství se začne vyvíjet.

„Z embryologického hlediska je dnem počátku vývoje embrya den oplození (biologické stáří), toto datum však známe jen u embryí vzniklých in vitro.“
— Prof. MUDr. Pavel Trávník, DrSc.
1. den po KET – embryo se připravuje na uhnízdění
Embryo, nyní ve stádiu blastocysty, se nachází v děloze a pomalu se začíná „líhnout“ (proces hatchingu) z ochranného obalu. Tento krok je nezbytný pro to, aby se mohlo přichytit na děložní sliznici (endometrium).
Přečtěte si více o tom, jak probíhá transfer embrya.
2. den po KET – první kontakt s děložní sliznicí
Líhnutí blastocysty pokračuje a embryo se začíná jemně přichytávat na endometrium. Je to první signál, že by mohlo dojít k implantaci.
3. den po KET – začíná zavrtávání (implantace)
Embryo proniká do děložní sliznice a zahajuje proces nidace. Některé ženy mohou pozorovat lehké špinění nebo růžové krvácení, které je běžným příznakem uhnizďování.
Nidace: Klíčový okamžik na cestě k úspěšnému těhotenství. Jaké metody mohou pomoci k uhnizďování embryí?
4. den po KET – embryo se napojuje na cévní systém
Blastocysta se napojuje na drobné cévy v děložní sliznici, čímž si zajišťuje přísun živin a kyslíku potřebných pro další růst. V některých případech může lehké špinění ještě pokračovat.
5. den po KET – uhnízdění je téměř dokončeno
Embryo se dělí na buňky plodu a buňky, které vytvoří placentu. Tělo začíná reagovat na přítomnost embrya a připravuje se na produkci hormonů.
6. den po KET – začíná tvorba hCG
Buňky budoucí placenty začínají produkovat hormon hCG, který podporuje tvorbu progesteronu a udržuje děložní sliznici. Některé ženy mohou začít cítit první jemné změny – únavu, citlivější prsa nebo podrážděnost.
7.–8. den po KET – embryo pokračuje v růstu
Placenta se postupně vyvíjí a zajišťuje výživu plodu. Hladiny hCG stoupají, ale je ještě příliš brzy na spolehlivý těhotenský test. Může se objevit mírný tlak v podbřišku nebo výkyvy nálad.
9.–10. den po KET – první možné známky těhotenství
Hladina hCG se zvyšuje. Některé senzitivní testy mohou být již pozitivní, ale lékaři doporučují ještě pár dní počkat – příliš brzké testování může vést k falešně negativnímu nebo pozitivnímu výsledku.
11.–12. den po KET – těhotenský test je spolehlivější
Embryo je stabilně uhnízděné, placenta se rozvíjí. Většina žen už má v krvi i moči dostatek hCG na to, aby byl těhotenský test pozitivní, i když se stále doporučuje počkat do 14. dne.

13.–14. den po KET – potvrzení těhotenství
HCG prudce stoupá a těhotenské testy bývají jasně pozitivní. Oficiální potvrzení těhotenství probíhá 14. den po KET – krevním testem a následně ultrazvukem.
Jak poznat úspěšný KET a co vás čeká potom?
Úspěšný kryoembryotransfer se pozná díky pozitivnímu těhotenskému testu. Podělte se o tom, prosím, s námi! Pozveme vás na vyšetření, kde provedeme gynekologický ultrazvuk a stanovíme hladiny hormonů v krvi.
Při první kontrole je nejdůležitější si ověřit, že se těhotenství vyvíjí uvnitř dělohy. Často vám ještě nemůžeme ukázat embryo, na to bývá příliš brzo.
U druhé kontroly za 14 dní sledujeme vývoj těhotenství. Pokud jde vše, jak má, embryo je již vidět velmi dobře a my Vám můžeme ukázat tlukot srdce. K prvním fyzickým příznakům mohou patřit citlivější prsa, únava nebo výkyvy nálad, ale ty mohou být způsobeny i hormonální léčbou, proto je důležité spolehnout se na testování.
Po KET je doporučen klidnější režim po dobu dvou týdnů – vyhnout se těžké fyzické aktivitě, horkým koupelím a saunám. Pokud se těhotenství potvrdí, probíhají první kontroly a ultrazvuky v IVF centru.

Čas plyne velmi rychle. Chceme jej proto zachytit alespoň fotkou ultrazvuku, než Vás předáme do péče Vašeho gynekologa. V ten okamžik nám nezbývá než Vám popřát hodně štěstí do dalších měsíců!